Работы - Стоматология Алмаз
г. Омск, ул. Куйбышева, 62 +7 (3812) 56-56-56

Наши работы

Реальные примеры нашей работы — доказательство качества и профессионализма
В клинике «Алмаз» мы не просто лечим зубы — мы восстанавливаем здоровье, функциональность и эстетику улыбки. Каждый случай — это уникальная история, требующая индивидуального подхода и точного планирования.

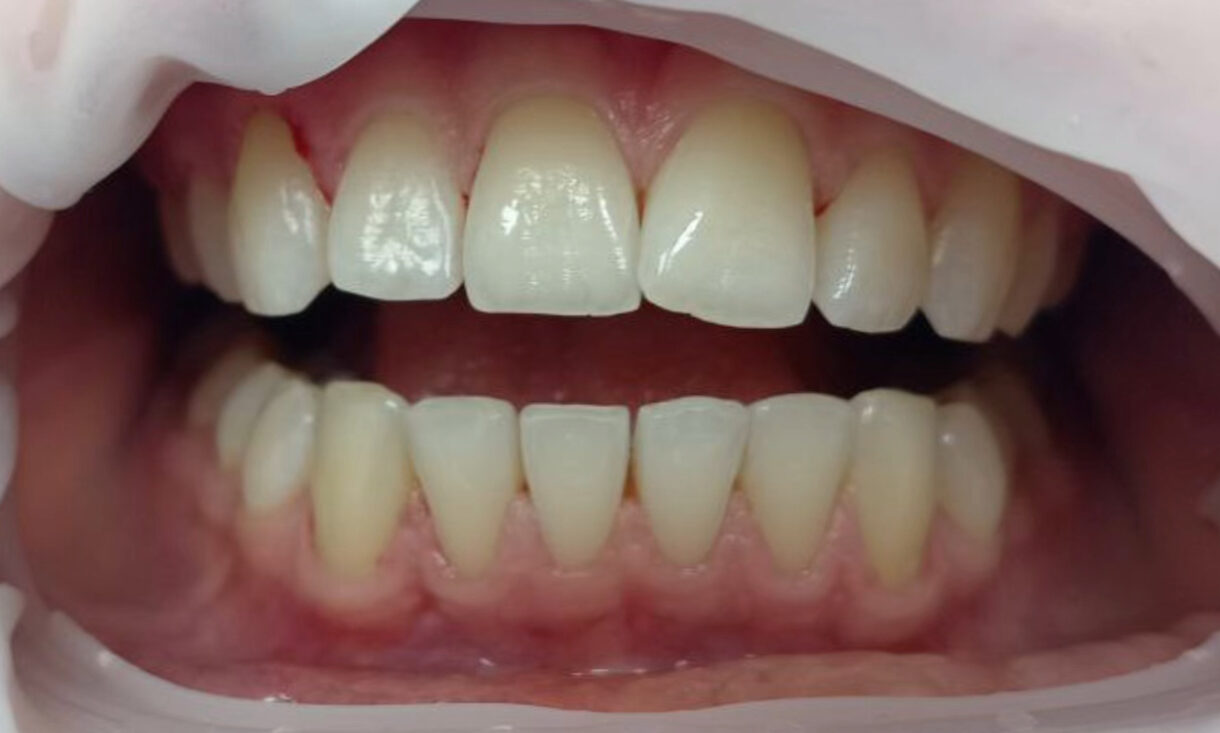
Профессиональная гигиена полости рта

Врач: Ильина Анастасия Александровна
Подробнее

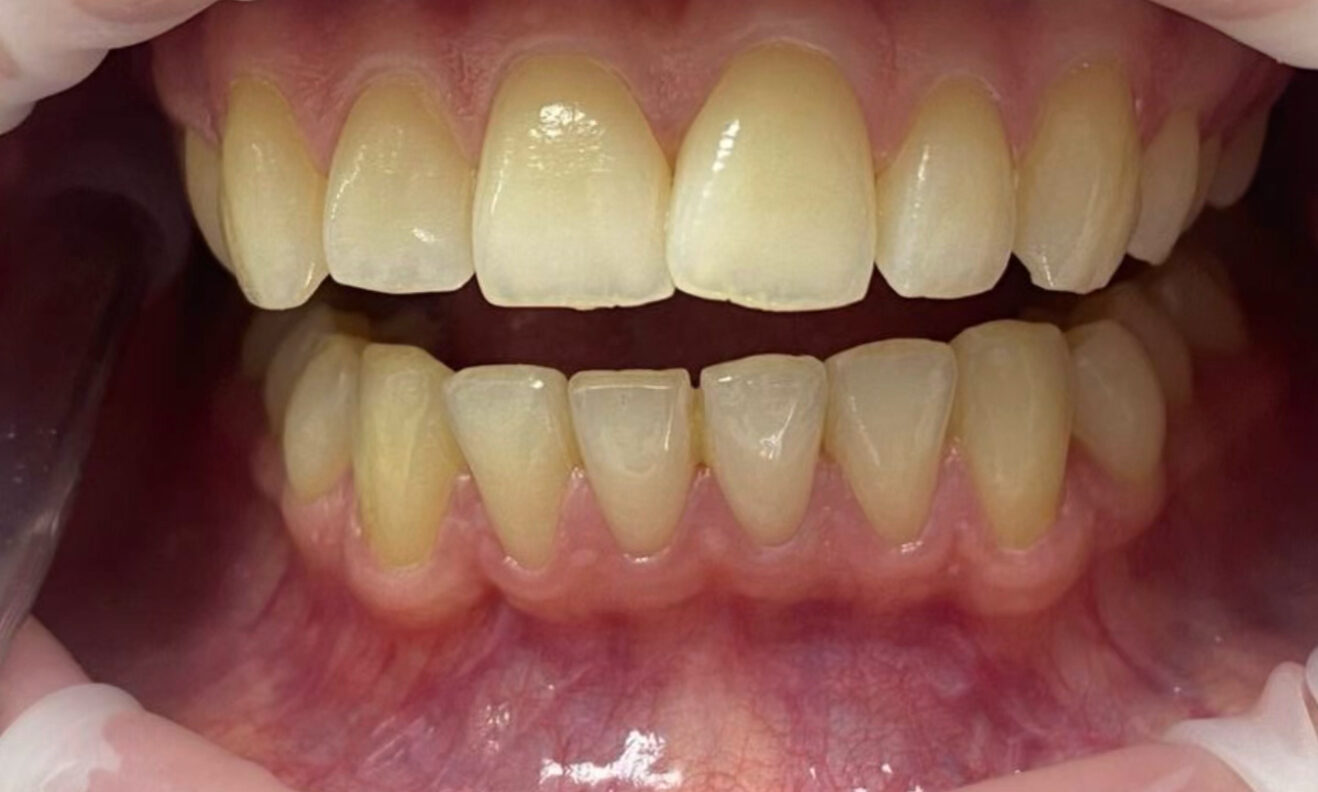
Профессиональная гигиена полости рта

Врач: Ильина Анастасия Александровна
Подробнее

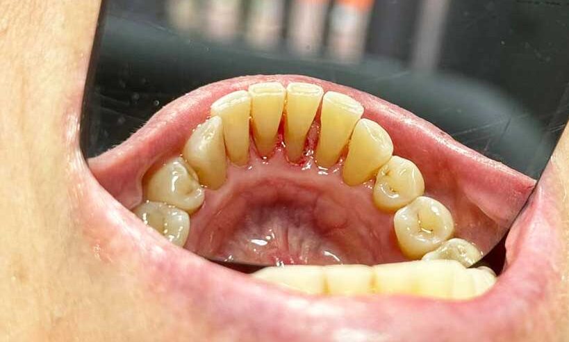
Профессиональная гигиена полости рта

Врач: Ильина Анастасия Александровна
Подробнее

Профессиональная гигиена полости рта

Врач: Ильина Анастасия Александровна
Подробнее

Постановка импланта

Врач: Зубарев Илья Евгеньевич
Подробнее

Установка двух имплантов и пластика мягких тканей

Врач: Зубарев Илья Евгеньевич
Подробнее

Удаление зуба мудрости без боли и осложнений

Врач: Зубарев Илья Евгеньевич
Подробнее

Ортодонтическое лечение

Врач: Боронина Дарья Максимовна
Подробнее

Ортодонтическое лечение

Врач: Боронина Дарья Максимовна
Подробнее

Фрезерованные коронки

Подробнее

    Записаться на консультацию!

    Ответим на любой Ваш вопрос о лечении в течение 10 минут

    Нажимая на кнопку «Отправить заявку», Вы соглашаетесь на обработку персональных данных в соответствии с Политикой конфиденциальности

    Telegram WhatsApp ВКонтакте Оставить заявку